A Endodontia é a especialidade da Odontologia que previne ou trata as patologias de origem pulpares e periapicais. O objetivo final é curar a doença endodôntica e permitir que o dente afetado restabeleça as suas funções estéticas/funcionais por meio de um tratamento restaurador complementar.
A obturação do sistema de canais radicares é uma etapa importante no tratamento endodôntico e sua função é de preencher e selar os canais, evitando a recontaminação dos mesmos. Com a evolução dos conhecimentos microbiológicos intracanal e do impacto dos novos instrumentos de modelagem dos canais com rotação contínua e/ou alternada sabe-se que não é possível a completa eliminação dos microrganismos do interior da microanatomia endodôntica. Sabe-se também, entretanto, que isto não é necessário para o sucesso e que a redução significativa dos nível de infecção intracanal, na maioria das vezes, é suficiente para alcançar o sucesso¹. Sendo assim, no momento da obturação é necessário criar um ambiente intracanal desfavorável para o crescimento populacional das bactérias remanescentes. Mas uma outra função da obturação é a de impossibilitar ou dificultar o crescimento de bactérias residuais não eliminadas durante o processo de limpeza e desinfecção.
Para que possam ser utilizados clinicamente, os cimentos obturadores devem apresentar propriedades essenciais. Estas são: capacidade de preencher, selar e apresentar estabilidade dimensional, não ser solúvel nos fluídos orgânicos tissulares, apresentar uma espessura de película de no máximo 50 micrômetros, ser radiopaco, ter bom escoamento, não produzir alterações cromáticas, ter adequado tempo de trabalho, tomar presa e ser de fácil manipulação e de fácil remoção caso necessário, promover cementogênese, ser biocompátivel e não irritante aos tecidos do periápice².
Com a evolução de novos materiais e dos conceitos reabilitadores da era da Odontologia adesiva, a busca por duas outras características vem se tornando cada vez mais importante no desenvolvimento dos novos cimentos endodônticos. Uma delas é a ausência de eugenol, que interfere na resistência de união dos sistemas resinosos³. A outra característica é a bioatividade. Bioatividade é a capacidade de um material de se integrar aos tecidos e estruturas do organismo ao qual está em contato.
A bioatividade do MTA é denominada de biomineralização, e foi primeiramente descrita por Reyes e Carmona, em 20094. Em um estudo in vitro, os autores observaram em imagens de microscopia eletrônica de varredura a integração do MTA à dentina por meio da deposição de numerosos grupos de apatita sobre as fibrilas de colágeno dentinário em toda a superfície de túbulos dentinários em contato com o MTA. Outro fator muito interessante é que os autores observaram que, com o aumento do tempo de contato do material com a dentina, mais extensas foram as mineralizações. Estas mineralizações aconteceram integrando o material à dentina, e podem ser responsáveis pela superior adpatação deste material à dentina4,5.
A baixa capacidade de escoamento do MTA não permite a sua utilização como cimento obturador. Desta forma, para buscar o benefício da biocompatibilidade deste material, foi criado uma nova classe de cimento endodôntico obturador denominada de cimentos à base de silicato. Esta denominação é proveniente dos componentes que constituem o MTA e que estão presentes nestes cimentos. São eles: silicato tricálcico, silicato dicálcico, óxido de cálcio e o aluminato tricálcico.
Caso clínico
O caso clínico abaixo mostra a utilização do cimento MTA Fillapex (Angelus) associados à cones de guta percha para a obturação endodôntica de um caso de tratamento endodôntico realizado em sessão única.
Paciente do gênero feminino, 56 anos de idade e caucasiana compareceu ao consultório se queixando de dor espontânea, pulsátil, que não cessava com o uso de analgésicos e anti-inflamatórios na região de mandíbula esquerda. Apresentou resposta negativa para o teste de palpação apical e percussão vertical e lateral em todos os dentes do referido quadrante. Aos testes térmicos apresentou resposta positiva exacerbada e de longa duração tanto ao frio quanto ao calor apenas no dente 37. Nos outros dentes do quadrante apresentou resposta positiva leve e de curta duração ao frio e negativa ao calor.
Segundo a classificação da Associação Americana de Endodontia, o dente 36 teve um diagnóstico pulpar e periapical de pulpite inflamatória irreversível com periápice normal. O tratamento indicado foi o tratamento endodôntico.
- Figura 1 – Radiografia inicial.
- Figura 2 – Condição clínica inicial.
- Figura 3 – Aspecto clínico após a remoção da restauração provisória.
- Figura 4 – Acesso à câmera pulpar e localização dos canais.
- Figura 5 – Canais modelados e desinfetados.
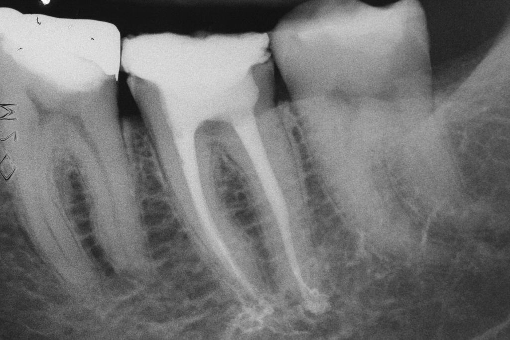
- Figura 6 – Canais obturados com guta percha e MTA Fillapex.
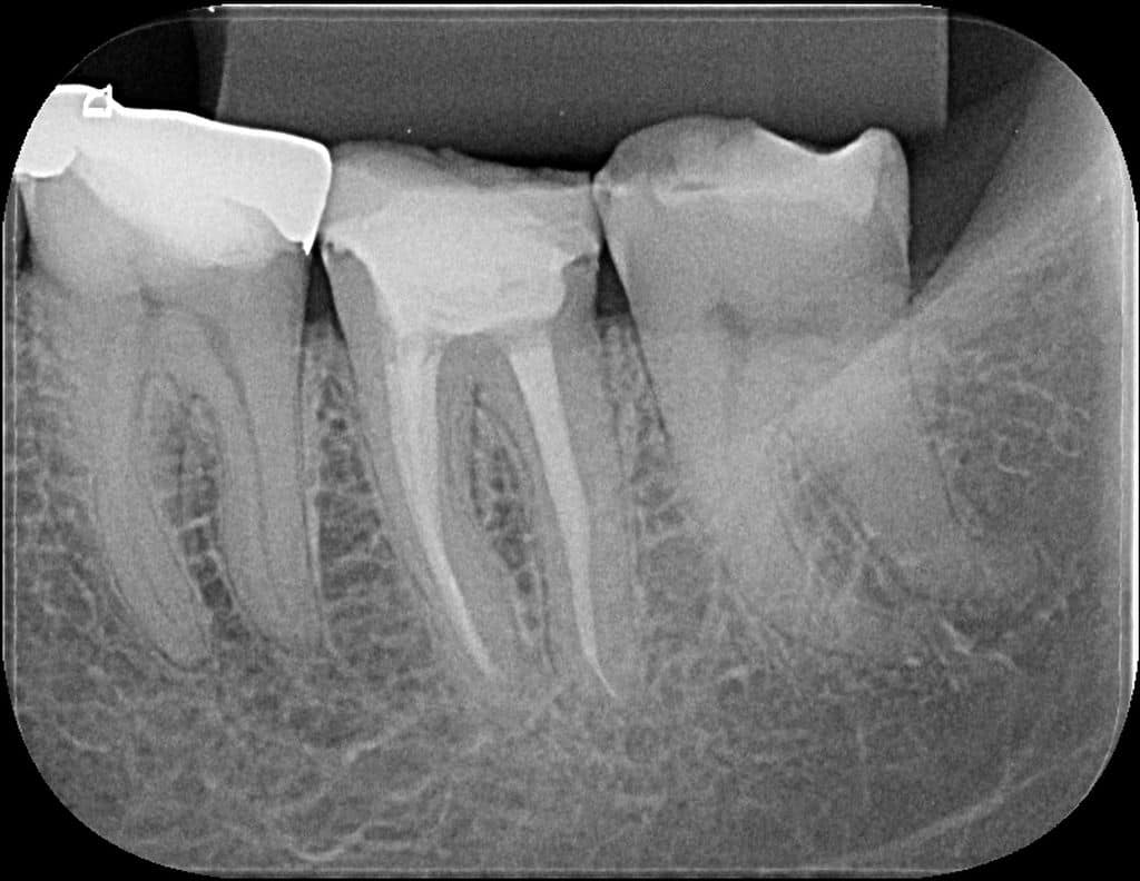
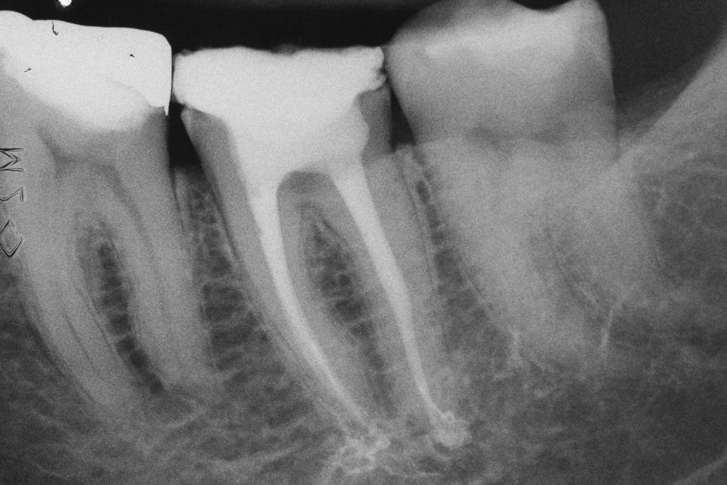
- Figura 7 – Radiografia final.
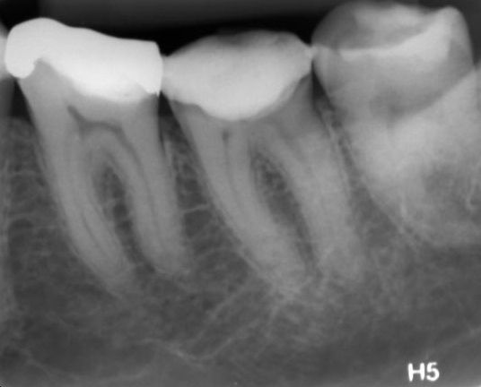
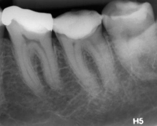
- Figura 8 – Controle radiográfico após 17 meses.
O tratamento, em sua totalidade, foi realizado com a utilização de um Microscópio Operatório variando a magnificação entre 2,5 a 12,5 X. O acesso à câmera pulpar foi feito com uma broca esférica diamantada 1013, seguida de uma broca tronco-cônica diamantada 3082. O acabamento foi realizado com ponta ultrassônica tronco-cônica diamantada (E7D Helse). Após a localização dos canais, uma lima #10 tipo K manual foi lentamente introduzida até alcançar 2/3 do comprimento radiográfico inicial do dente. Esta foi seguida de um instrumento reciprocante #25.06 (Reciproc -VDW) com progressão apical em sequências de três movimentos em torno de 1 mm de amplitude em direção apical. A cada sequência de três movimentos com o instrumento reciprocante, uma irrigação com 5 ml de hipoclorito de sódio à 2.5% foi realizada, e a lima #10 do tipo K levada até 2/3 do comprimento radiográfico do dente. Este procedimento foi repetido até que o instrumento Reciproc 25 atingisse este comprimento pré-estabelecido.
Os passos seguintes foram realizar a odontometria eletrônica com um localizador foraminal e estabelecer o comprimento real de trabalho. No comprimento de trabalho foi verificado o diâmetro da região por meio da introdução de diferentes calibres de limas manuais do tipo K até que observar-se o ajuste de uma delas às paredes laterais dos canais. Nos canais mesiais, o instrumento que se adaptou à essa região foi o #30, e no canal distal o #40. Desta forma, e na mesma sequência operatória inicial de preparo, modelagem e irrigação, os canais mesiais foram preparados até o instrumento Reciproc 40 (VDW), e o canal distal até o instrumento Reciproc 50 (VDW).
Após a modelagem dos canais, o sistema de canais foi seco e preenchido com EDTA-T 17% e uma ponta de ultrassom Irrisonic (Helse) foi utilizada para ativar passivamente a substância por três ciclos de 15 segundos, com renovação da substância a cada ciclo. Após a ativação passiva ultrassônica, os canais foram novamente irrigados com 5 ml de Hipoclorito de Sódio a 2.5%. Os cones principais de guta pecha foram provados e ajustados. Após, o sistema de canais foi seco com microcânulas de aspiração conectadas a um suctor à vácuo.
O cimento MTA Fillapex (Angelus) foi manipulado e levado ao interior dos canais por meio dos cones principais de guta percha. Os excessos dos cones foram cortados com a utilização de um sistema de transferência de calor (Touch’n Heat Sybron Endo), e compactados verticalmente a frio. A câmera pulpar foi selada com resina composta fotopolimerizável, e a paciente foi encaminhada à sua dentista para a realização da restauração definitiva do elemento dental.
Após 17 meses, a paciente compareceu para consulta de controle. Na radiografia foi possível observar sucesso endodôntico caracterizado por ausência de sinais e sintomas, dente em função fisiológica, normalidade do periápice e reabsorção do surplus de MTA Fillapex.
Referências bibliográficas
- José F. Siqueira Jr and Isabela N. Rôças. Clinical Implications and Microbiology of Bacterial Persistence after Treatment Procedures. J Endod. 2008 Nov; 34(11):1291-1301.
- Kenneth M. Hargreaves, Stephen Cohen, Louis H. Berman. Cohen’s Pathways of the Pulp. Ed 10; Mosby Elsevier, 2011.
- Vano M, Cury AH, Goracci C, Chieffi N, Gabriele M, Tay FR, Ferrari M. The effect of immediate versus delayed cementation on the retention of different types of fiber post in canals obturated using a eugenol sealer. J Endod 2006; 32(9):882-5.
- Reyes-Carmona JF1, Felippe MS, Felippe WT. Biomineralization ability and interaction of mineral trioxide aggregate and white portland cement with dentin in a phosphate-containing fluid. J Endod. 2009 May;35(5):731-6.
- Torabinejad M1, Hong CU, McDonald F, Pitt Ford TR. Physical and chemical properties of a new root-end filling material. J Endod. 1995 Jul;21(7):349-53.
Leandro Pereira
Cirurgião-dentista. Professor do Departamento de Endodontia da Faculdade e Centro de Pesquisas São Leopoldo Mandic – Campinas (SP). Mestre e Doutorando em Farmacologia, Anestesiologia e Terapêutica Medicamentosa. Especialista em Endodontia – Microscopia Operatória – Sedação Inalatória. Coordenador do Curso de Fotografia em Odontologia da São Leopoldo Mandic em Belo Horizonte (MG). Coordenador do Curso de Microcirurgia Endodôntica do Branemark Osteo Integration Center. Membro da American Association of Endodontists. Palestrante nacional e internacional de Microcirurgia e Endodontia. Socorrista (SBV) pela American Heart.








