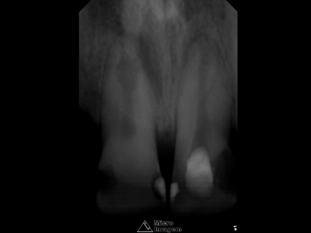
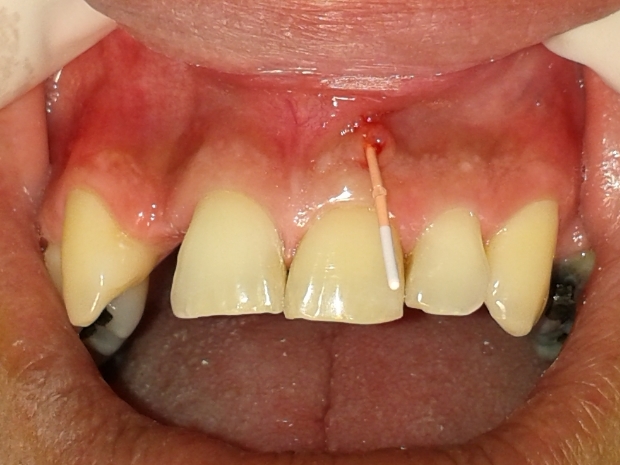
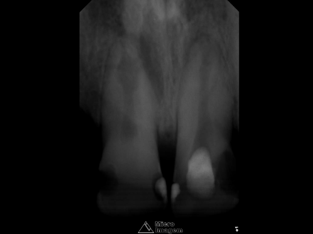
Paciente do gênero masculino, 32 anos, apresentou-se com quadro clínico de necrose pulpar dos elementos dentais 11 e 12 (figura 1), associado à presença de reabsorção interna, sendo submetido ao tratamento endodôntico em ambos os elementos.
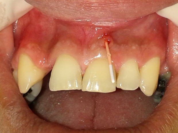
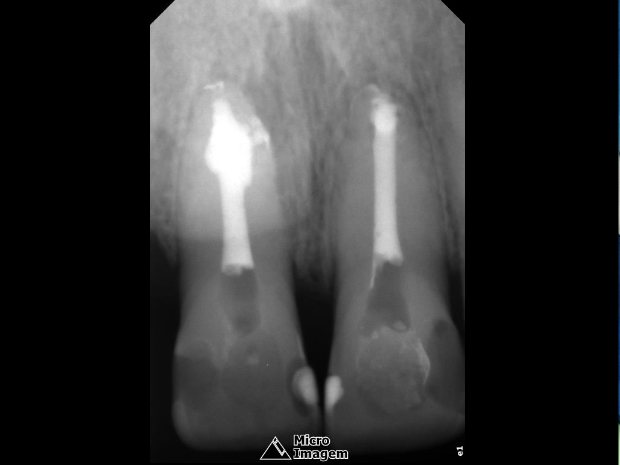
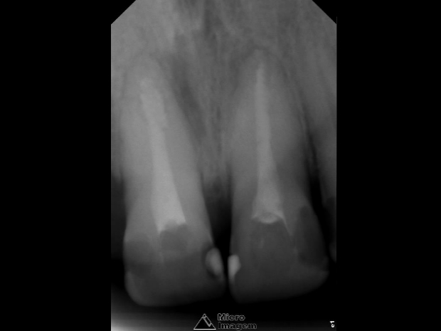
O mesmo relatava histórico de trauma dental na infância, sendo que previamente foi submetido a uma intervenção de urgência no elemento 21 por outro profissional, visto que se apresentava com edema e dor na região apical. Pela presença de fístula nesta região, foi realizado rastreamento na mesma, sendo a mesma oriunda do elemento dental 21 (figuras 2 e 3).
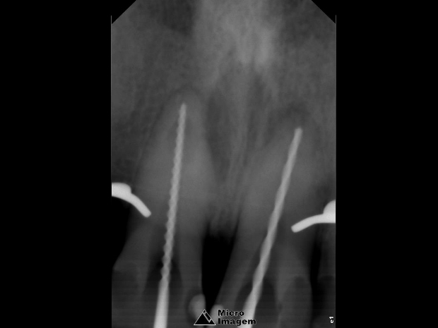
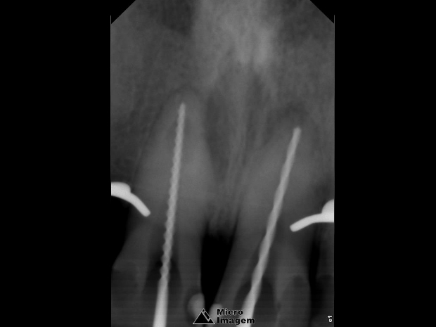
Após a abordagem inicial do paciente, o mesmo foi anestesiado e procedeu-se à confecção do isolamento absoluto. Posteriormente, o acesso coronário foi realizado, onde se constatou clinicamente a necrose pulpar de ambos os dentes. Foi realizada uma penetração desinfetante crown-down empregando como agente irrigador NaOCl a 5%, sendo a odontometria realizada pelo método radiográfico, devido a inviabilidade de emprego de um localizador foraminal nestas condições anatômicas, podendo influenciar em sua precisão (figura 4).
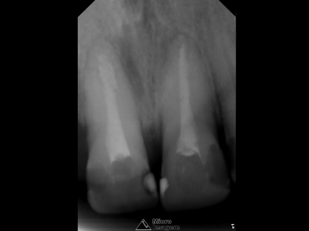
O preparo foi realizado pela técnica de preparo biescalonado (step-back) utilizando Limas K (Maillefer/Suiça) e como agente irrigador NaOCl 2,5%, procurando dilatar toda a conformação do canal radicular. A cada troca de instrumento, realizou-se irrigação ultrassônica com insertos lisos (Irrisonic/Helse/Brasil) por meio do conceito PUI e CUI (figura 5). Como complemento ao processo de descontaminação intracanal, foram realizados duas trocas quinzenais de Hidróxido de Cálcio (Ultracal/Ultradent/USA), objetivando também a analise da qualidade de limpeza obtida na área da reabsorção pela radiopacidade deste medicamento (figura 6).
A obturação foi realizada pela técnica termomecânica Híbrida de Tagger (figuras 7 e 8) por meio do emprego de GutaCondensor (Maillefer/Suiça), cones de guta-percha TP (Dentsply/Brasil) e cimento obturador à base de M.T.A. Fillapex (Angelus/Brasil) (figura 9).
Após a termocompactação, realizou-se o corte da obturação, condensação vertical com o uso de calcadores a frio, limpeza da câmara pulpar e restauração provisória imediata do mesmo (figura 10). Observou-se radiograficamente selamento de ramificações e de áreas reabsortivas, bem como a presença de pós-operatório silencioso.
A proservação foi realizada após três meses e demonstrou reabsorção do cimento Fillapex e neoformação óssea na região apical de ambos os dentes (figura 11).
- Figura 1
- Figura 2
- Figura 3
- Figura 4
- Figura 5
- Figura 6
- Figura 7
- Figura 8
- FIgura 9
- FIgura 10
- Figura 11
Fábio Duarte da Costa Aznar
Cirurgião-dentista. Especialista em Endodontia. Mestre em Endodontia. Coordenador do Curso de Especialização em Endodontia FACESC/Chapecó-SC, FAIPE/Goiânia-GO & GOE-Macapá.
fabio@aznar.com.br
Margarida Diniz
Cirurgiã-dentista. Especialista em Endodontia.











