Tratamento de perfuração empregando o novo MTA Repair HP

Tratamento de perfuração empregando o novo MTA Repair HP

O cirurgião-dentista Fábio Duarte da Costa Aznar apresenta técnicas para tratamento de perfuração empregando o novo MTA Repair HP.

Caso clínico

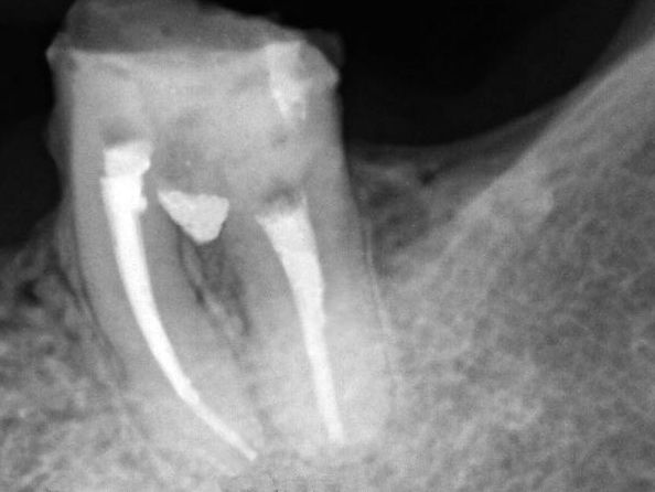
Paciente do gênero feminino, 47 anos, apresentou-se com quadro clínico de extensa perfuração iatrogênica da região de furca do elemento dental 36 (figuras 1 e 2), associado à perda óssea radiograficamente, fístula vestibular e dor à palpação.

A paciente relatava histórico de já ter sido submetida a uma intervenção de urgência neste dente, realizada por outro profissional, visto que se apresentava com dor aguda característica de pulpite.

O dente foi submetido à intervenção endodôntica, sendo que após a abordagem inicial da paciente, a mesma foi anestesiada e procedeu-se a confecção do isolamento absoluto.

Posteriormente, o acesso coronário foi realizado, onde se constatou clinicamente a necrose pulpar e a presença da perfuração. Foi realizada uma penetração desinfetante dos canais radiculares (crown-down), empregando como agente irrigador NaOCl a 5%, sendo a odontometria determinada pelo uso de localizador foraminal.

O preparo foi realizado pelo sistema Reciproc (VDW/Alemanha), e foi empregado, como agente irrigador, NaOCl 2,5% associado à ativação ultrassônica realizada com insertos lisos (Irrisonic/Helse/Brasil).

Na sequência, a perfuração foi tratada com a limpeza e a regularização da mesma, empregando inserto ultrassônico diamantado (E7D/Helse/Brasil). Como complemento ao processo de descontaminação intracanal e da região de furca, foi realizado uma troca quinzenal de Hidróxido de Cálcio (Ultracal/Ultradent/USA), observando a remissão de toda a sintomatologia.

A obturação foi realizada pela técnica termomecânica Híbrida de Tagger (figura 3), por meio do emprego de GutaCondensor (Maillefer/Suiça), cones de guta-percha TP (Dentsply/Brasil) e cimento obturador à base de M.T.A. Fillapex (Angelus/Brasil).

Após a termocompactação, realizou-se o corte da obturação e a condensação vertical com o uso de calcadores a frio, e novamente a região da perfuração foi limpa e preenchida Hidróxido de Cálcio.

Após 15 dias, procedeu-se o selamento da região da perfuração, sendo inicialmente constatada a possibilidade adequada de secagem da região. O preenchimento da perfuração foi realizado com o emprego do MTA Repair HP (Angelus/Brasil), previamente preparado, conforme recomendação do fabricante, sendo o mesmo inserido com uso de aplicador de MTA (Angelus/Brasil).

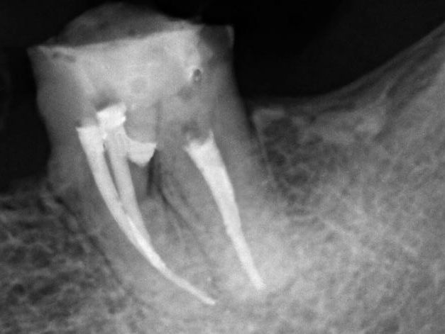
Os critérios clínicos e radiográficos foram utilizados para determinar o correto preenchimento pelo material (figuras 4 e 5), sendo o cimento de ionômero de vidro (Vitremer/3M/EUA) empregado para a proteção da região selada (figura 6).

Após a restauração provisória, observou-se radiograficamente um adequado selamento da região de furca pelo MTA Reapair HP, bem como a presença de pós-operatório silencioso.

A proservação foi realizada após dois meses, observando neoformação óssea na região de furca e ausência de sintomatologia (figura 7).

 


FabioFábio Duarte da Costa Aznar
Cirurgião-dentista. Especialista em Endodontia. Doutor em Ciências Odontológicas Aplicadas. Coordenador do Curso de Especialização em Endodontia Facoph (Bauru-SP), FACESC (Chapecó-SC), FAIPE (Goiânia-GO), GOE (Macapá-AM) e  Funorte-Ji-Paraná-RO.
Contato: fabio@aznar.com.br

Leave a reply

O seu endereço de e-mail não será publicado. Campos obrigatórios são marcados com *

Anuncio
Anuncio